少女喝珍奶5天沒拉... 檢查照出腸胃「百顆密集陰影」醫生也傻了
2019年06月07日台灣發明的珍珠奶茶可說是紅遍全球,是台灣最具有代表性的飲料之一,不過喝太多珍奶會帶來什麼可怕的後果呢?中國浙江就有一名14歲的女孩,在喝了珍珠奶茶之後導致連續5天沒有排便,經過電腦斷層掃描後才發現,她的腸胃內竟然佈滿了一顆顆沒有消化的珍珠,醫生也推測這是近期喝了一段時間所造成的!
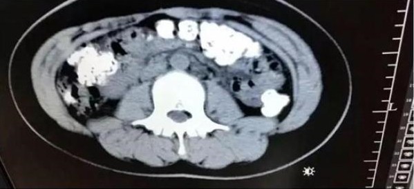
▼根據中國《澎湃新聞》的報導,這名14歲少女於5月28日在父母陪同下來到浙江諸暨市人民醫院急診。原來她已經連續5天都腹痛不已,不僅沒有排便更吃不下東西,當時醫師見她肚子鼓鼓的,於是安排了她做腹部 CT,結果發現患者的胃部、橫結腸、升結腸、降結腸、乙狀結腸一直到肛門,都佈滿了密密麻麻的顆粒陰影!

▼醫師馬上追問少女最近吃了什麼不易消化的食物,少女才支支吾吾的表示,自己5天前喝了珍珠奶茶。不過醫師推斷少女體內未消化珍珠的數量不像是喝一杯珍奶就能累積的,應該是近期都有喝了一段時間,因為害怕父母念她才會選擇隱瞞。最後醫師開了一些「潤腸通便」的藥物,協助她把未消化的「珍珠」排出體外。

▼浙江諸暨市人民醫院急診科主任何醫師表示,珍珠奶茶的這些「珍珠」是木薯澱粉製成,身體本來就不易消化,加上一些商家為了提升口感,還會胡亂加入增稠劑等添加劑,如果大量連續食用,容易導致腸胃功能紊亂。(示意圖)

▼2015年,中國山東電視台透更曾揭露,一些「假珍珠」可能是皮鞋底和舊輪胎做的。匿名的奶茶店經理透露,這些珍珠都是在化工廠生產的,而材料中就含有皮鞋和舊輪胎的廢料。

沒想到喝珍珠奶茶竟然會導致如此可怕的後果,只能說那些無良商人為了增加口感,胡亂加入添加劑的行為實在太可惡了!
來源:微博