急診室什麼奇葩都有! 醫生公開「年度最怪案例」:從屁屁拿出巴斯光年...
2018年12月28日隨著新的一年即將到來,我們應該開始反思一些人生中的重大問題如:過去這一年過得如何?我們學到了什麼?我們是否有吸取了前人的教訓呢?不過很顯然的,有一些人就是永遠都學不乖,總是喜歡將奇怪的東西往身體內塞,造成急診室的醫生總是可以有說不完的話題!
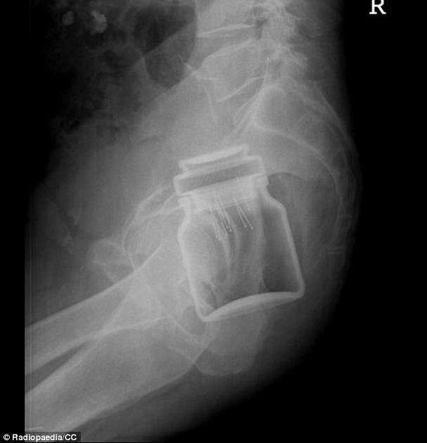
▼美國消費者產品安全委員會(CPSC)發布了2018年急診室就診的數據檔案,發現急診室的醫生不斷的從人類的直腸、下體、喉嚨、耳朵甚至鼻孔取出各種各樣的物品,這些物品的種類包羅萬有,許多甚至會令人感到不可思議!就好像這個案例中,患者直腸中竟然有個咖啡罐!

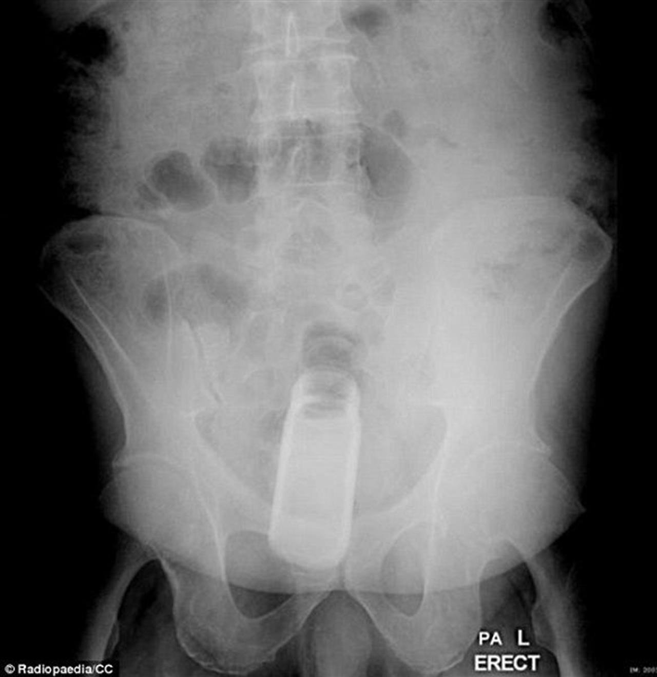
▼也曾有醫生在患者的直腸內取出完整的瓶子!

▼在這起案例中,這是一罐除臭劑!

▼塞了聖誕糖果。

▼這名患者則是將一罐噴霧劑塞進了自己的直腸中,他是怎麼辦到的?

▼X光照中圓形的物體是一顆橘子!

▼而在這起案例中,患者的直腸中是一根茄子!

▼巴斯光年,你好慘…

▼塞了一顆蛋!到底…?

▼至於體內發現各種形狀的成人玩具,對急診室醫生來說已經見怪不怪了!



根據國外網站 Deadspin 的記載,在人體內發現的異物遠遠不止這些,當中包括:警棍、水管、牙刷、原子筆、撞球、打火機、螺絲起子、遙控器、聖誕裝飾等等匪夷所思的物品。到底在什麼樣的狀況下,才會令人將這些東西塞進自己的體內呢?如果仍然執意這樣做的話,請盡量確保自己可以取出這些物品,以免讓自己成為網路上大家的笑柄!
來源:LadBible