4月嬰兒沒坐安全椅「急撞儀表板」 頭骨瞬間變形凹一塊
2018年04月01日每年都有很多兒童因為未使用安全座椅而死傷,但還是有一些父母心存僥倖。不久前,高雄一對父母帶4個月大的寶寶出門,寶寶被媽媽抱在懷裡,坐在副駕駛座。爸爸開車時不小心撞到橋墩,寶寶的頭猛得撞到副駕駛座前方的儀表板,又反彈撞上旁邊的車門。
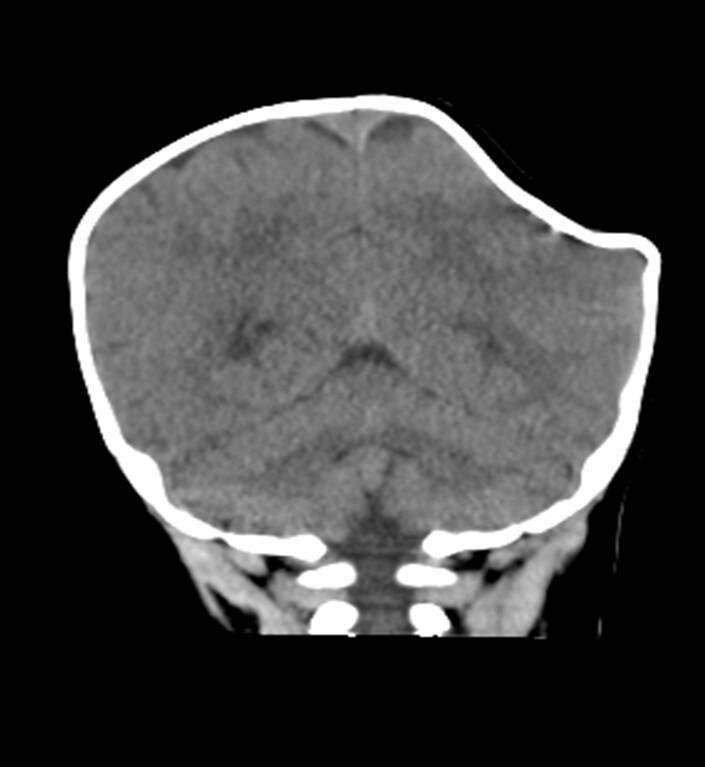
▼寶寶被送到醫院時,左側頭骨凹陷變形,右側頭顱凸起血腫,頭骨凹陷約5X5公分,血腫約5X7公分。幸好寶寶沒有顱內出血,這才保住一命。斷層檢查時,寶寶頭部的影像就像「咬了一口的蘋果」,非常嚇人。

▼院方進行開顱手術,原本想學汽車板金處理,將他頭骨凹陷的地方頂出來。但頭骨太硬,只好內外翻轉,讓他的頭部恢復原狀。手術順利完成,寶寶一周後就能康復出院。

▼根據道路交通管理處罰條例,小客車附載幼兒應安置於安全椅,1歲以下或體重未達10公斤,得放置在車輛後座的嬰兒用臥床;1到4歲以下且體重在10到18公斤的幼童,得坐在車輛後座的兒童用座椅。每一個安全椅限乘坐一名幼童,若違反規定,可處駕駛人1500元到3000元罰緩。

爸爸媽媽們不要覺得安全座椅麻煩,關鍵時刻能夠救孩子一命啊。
來源:自由時報