發現人體有「新器官」! 科學家希望列為正式器官 它「全身都有」
2018年03月31日美國紐約大學的研究團隊於3月27日在《科學報告》發表了一篇關於「間質」(interstitium)的相關報告,他們認為應該將間質列為人體的器官,如果順利的話間質將會成為人體體內最大的器官!
▼那麼「間質」到底是什麼呢?那是一種處於身體組織和組織之間,以膠原蛋白束和具有絕佳彈性的結締組織所組成的框架。它存在於血管和內臟周圍、皮膚底下以及肌肉之間的筋膜組織當中。

根據紐約大學朗格尼健康中心(NYU Langone Health)的謝爾斯教授(Neil Theise)表示,他們一開始也單純的認為間質只是一種有趣的人體組織,可是深入了解之後發現,無論將器官定義成具有單一結構的組織;或是具有單一機能的組織,間質的結構怎麼看都是器官。
▼目前已知人體最大的器官是皮膚,佔了人體體積約16%。而間質所佔的體積約20%,以年輕人的體型來看相當於10公升之多。謝爾斯教授表示,如果間質是一種器官的話,就會是比皮膚還要大的器官,同時呼籲要將間質列為器官。

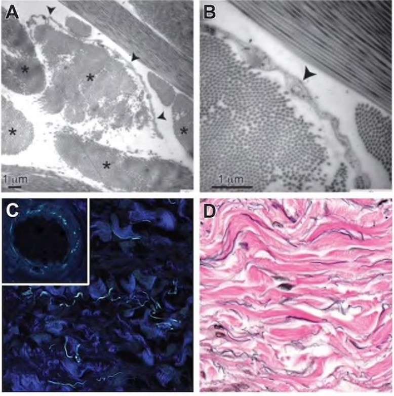
謝爾斯教授也帶領了他的研究團隊與紐約市內的醫院合作,從 13名患者的胰臟手術當中取得健康的人體膽管間質組織後,先將間質組織浸泡在熒光液當中,再透過共焦點雷射顯微內視鏡觀察,讓研究人員可以觀察到每一個細節的地方研究人員發現。組織裡面有特定的幾處出現液體聚集的現象,他們推測這幾個地點具有類似淋巴結的功能,液體匯聚到這裡之後,會再流進淋巴結當中。
▼不過當他們將組織樣本放到顯微鏡底下觀察時,發現這些間質組織開始脫水和塌陷,謝爾斯教授指出很可能因為如此以前的研究很容易忽略掉間質。他也表示「一旦你看到間質後,就沒有辦法裝作沒看到了。」不過現階段還需要進行更多的研究,來了解間質和人體器官、組織之間的作用機制。

▼對於謝爾斯教授的說法,耶魯大學醫學院的奈德森教授(Michael Nathanson)則抱持相反的看法,他表示間質在各種器官當中都是很常見的一種組織,「就像我們第一次發現血管一樣,血管存在於每一個器官當中,但血管本身並不是一種器官。」不過他也認同這一次對於間質的研究,很可能改變我們對於人體的認識。

原來人體內還有著如此有趣的組織,而且遍佈在我們全身,希望科學家們能夠對這方面繼續進行研究,讓大家對於間質能夠更加了解!
來源:CNN