這個男子因為超愛吃生魚片「結果吃到要去醫院求醫」,醫生看了X光照都不敢告訴他結果!
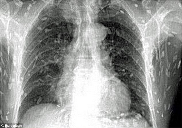
2017年07月17日前幾天,廣東一名男子腹痛難忍,皮膚搔癢,去當地的醫院求診。醫生為他拍X光片檢查,結果在X光片上看到了密密麻麻的白色斑點。大家倒吸一口冷氣,最後才確定,這些全都是絛蟲!

▼那名男子表示,自己平時愛吃生魚片,沒想到竟然會因此感染絛蟲。為他治療的醫生稱,很多人誤食含有絛蟲蟲卵的食物染病,如果治療不及時,會發展成囊蟲病。類似的病人,近年來醫院已經接診過好幾例,他們都有一個共同點,那就是愛吃生魚片。


▼醫生提醒民眾,吃生魚片、生豬牛肉都可能感染,一些魚塘的淡水魚更加危險。因為魚塘裡的魚很容易被污染,沾上糞便。感染絛蟲後非常麻煩,如果這些絛蟲在肌肉外圍,只要驅蟲就能解決問題。如果已經侵入腦部,就可能變成腦囊蟲病,最後引發腦水腫,還會危及生命。

▼下面這位醫生展示了恐怖的絛蟲。
之前也有報導稱,鮭魚生魚片中含有日本海裂頭絛蟲,吃下肚後非常危險。不過大家不用太擔心,因為吃生魚片感染寄生蟲的案例,在台灣比較少見。反而是吃沒煮熟的豬肉、沒有妥善處理的淡水魚生魚片,感染絛蟲的機率比較高。如果感覺不舒服,一定要儘快就醫,只要早發現,醫生會幫忙「殺蟲」的~
來源:dailymail